Клинический случай № 3
Тотальная имплантация. Клинический случай реабилитации полной вторичной адентии с помощью имплантов Медентика
Пациент 69 лет обратился в клинику в ноябре 2024 года с жалобами на неудовлетворительную фиксацию полного съемного протеза на верхней челюсти. Из анамнеза: на верхней челюсти отсутствуют зубы более 5 лет, состояние мягких тканей удовлетворительное; на нижней челюсти изготовлен частичный съемный протез с кламмерами на зубы 3.3, 4.3. Со слов пациента, верхний протез он не носит уже около года, нижний протез не беспокоит.
Данные КТ–диагностики: наблюдается сильная атрофия кости в боковых отделах верхней челюсти, остаточная кость в проекциях 14-17 и 24-27 около 2 мм. В переднем отделе костная ткань около 10 мм по высоте, по ширине определяется сильная атрофия.

После консультации были предложены несколько вариантов реабилитации.
От костной пластики по методике открытого двустороннего синус-лифтинга и вертикальной аугментации пациент отказался в силу дороговизны и травматичности. Был выбран метод замещения зубного ряда с помощью установки 4 имплантов (2 в переднем отделе в области 1.1 и 2.2, 2 под углом в области 1.3, 2.3) с немедленной нагрузкой.
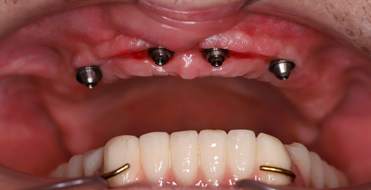
Под местной анестезией по ранее изготовленному хирургическому шаблону установлены 4 импланта Medentika Quadroconne (3.8х09 в область 1.1, 2.1, 4.3х11 в область 1.3, 2.3 под углом 30 гр.), получен необходимый торк, установлены мультиюниты, получен оттиск для изготовления временного пластмассового протеза. Установлены защитные колпачки, рана ушита. Даны назначения (Антибиотики, НПВС).

Через 5 дней сняты швы, установлен временный пластмассовый мостовидный протез, проведена коррекция.

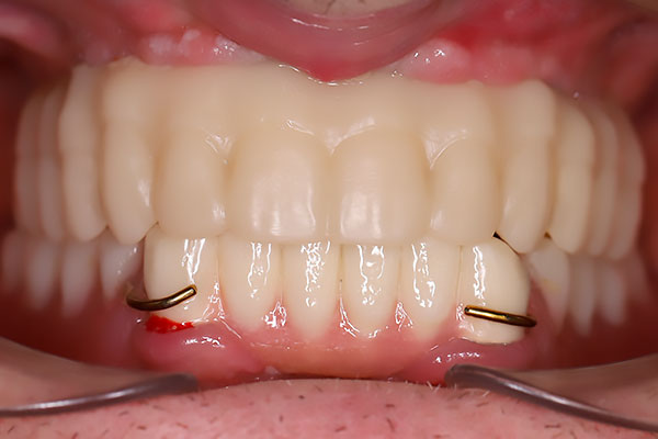
Через 4 месяца пациенту установлен постоянный циркониевый мостовидный протез на титановой балке. Состояние костной ткани хорошее. Состояние десны удовлетворительное, жалоб нет.


КТ после фиксации

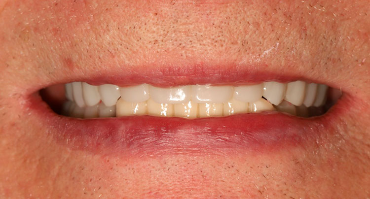
Контрольный осмотр через 1 месяц подтвердил успешность данного выбора методики.




|