Стоматологическая Ассоциация России (СтАР) Официальный сайт
Стоматологической Ассоциации России
Логотип Стоматологической Ассоциации России

Конкурс «На самый интересный клинический случай 2025»


Клинический случай № 5


Извлечение инородных тел из тканей пародонта центральных резцов верхней челюсти пациента после неконтролируемого ортодонтического лечения

Введение

В иностранной литературе, начиная с конца 19 века описаны случаи травмы пародонта при ношении эластических колец, назначенных врачом-ортодонтом для устранения диастемы у детей [McQuillen, J.H., 1870]. Отсутствие ретенционных элементов, должного строгого контроля безопасности ношения и позднее обращение родителей приводит к тому, что под действием эластической силы, стремящейся вернуть эластическое кольцо в исходное состояние, происходит его смещение в ткани пародонта на различную глубину. Помимо механического разрыва периодонтальных волокон, возникает острое и затем хроническое воспаление в пародонте. В некоторых случаях прогрессирующее воспаление является причиной удаления постоянных зубов во фронтальном отделе у детей [Rubel I., 1980]. К сожалению, поиск отечественных научных работ по данной проблеме в поисковых системах Elibrary, search.rsl.ru, Киберленинка и Google Академия не дал положительных результатов, имеются только отдельные публикации клинических случаев в сети интернет и на специализированных стоматологических форумах.

Клинический случай

В сентябре 2024 года в детское стоматологическое отделение ГКБ по неотложной помощи обратились родители с сыном 9 лет с жалобами на периодическую боль в области верхней челюсти, подвижность зубов 1.1, 2.1, боли при накусывании на эти зубы.

Анамнез заболевания: со слов матери пациента, врачом-ортодонтом из ЛПУ по месту жительства около 3 месяцев назад для устранения диастемы на верхней челюсти назначено домашнее ношение ортодонтических эластических колец, которые они должны были надевать на центральные резцы. Со слов матери пациента, ребенок мог самостоятельно снимать и надевать эластические кольца по своему желанию. Жалобы на периодическую боль в области центральных резцов обнаружили примерно за 2 месяца до визита, а подвижность за неделю до обращения.

При клиническом осмотре конфигурация лица не изменена, регионарные лимфатические узлы не увеличены, безболезненные, подвижные, открывание рта не затруднено.

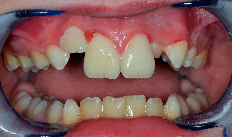
Осмотр полости рта: зубы 5.3, 6.3 прорезаны полностью, коронка интактная, подвижность отсутствует, зуб 1.2 в стадии прорезывания, имеет вестибулоположение, коронка интактная, подвижность отсутствует, зуб 2.2 в полости рта не прорезался. Зуб 6.4 в полости рта отсутствует, зуб 6.5 коронка интактная, подвижность отсутствует. Зубы 1.1, 2.1: визуализируется диастема, коронки зубов интактные, в цвете не изменены, патологическая подвижность 2 степени, перкуссия болезненная. Холодовая проба: положительная кратковременная реакция. При зондировании пародонтологическим зондом (вестибулярно и нёбно в трех точках) определяются патологические зубодесневые карманы глубиной до 13 мм. Гнойное отделяемое отсутствует. Краевая слизистая в области зубов 1.1, 2.1 гиперемирована. Фенотип десны во фронтальном отделе верхней челюсти толстый (Рисунки 1-3)

Рисунок 1. Клиническая картина в полости рта, после проведения местной анестезии.

Рисунок 2. Зондирование с помощью градуированного пародонтологического зонда в области зубов 1.1 (А), 2.1 (Б)

Рисунок 3. Определение подвижности зубов (анимация).

На КЛКТ на руках у матери пациента от сентября 2024 года зубы 1.1, 2.1 в стадии незакрытой верхушки корня, определяются признаки конвергенции корней в апикальной части и дивергенции коронок, признаки горизонтальной деструкции костной ткани до 23 длины корня, признаки расширения пространства периодонтальной связки, признаки наличия симптома «костной ступеньки», свидетельствующего о предполагаемом местоположении ретгеннеконтрастных эластических колец в тканях пародонта. Инструментом «линейка» определено расстояние от режущего края зуба до предполагаемого местоположения эластических колец (Рисунки 4, 5).

Рисунок 4. Кросс-срезы КЛКТ зубов 1.1, 2.1 (анимация).

Рисунок 5. Зубы 1.1, 2.1: зеленым цветом выделены границы костной ткани альвеол, признаки «костной ступеньки» в апикальной части корней.

3D реконструкция сегментов 1.1, 2.1 наглядно демонстрирует объем деструкции костной ткани (Рисунки 6-7).

Рисунок 6. Сегмент 1.1, 2.1 в виде 3D стереолитографической модели для визуализации дефекта костной ткани. А - Фронтальный вид; Б -полуаксиальный вид.

Рисунок 7. Стереолитографическая модель костной ткани лунок зубов 1.1, 2.1 до операции (удалены корни зубов 1.1, 2.1).

Было принято решение удаления эластических колец из тканей пародонта после отслаивания слизисто-надкостничного лоскута в области зубов 1.1, 2.1, ввиду отсутствия информации о количестве эластических колец в тканях пародонта.

Ход операции:

Проведена антисептическая обработка полости рта 0, 05% раствором Хлоргексидина. Под аппликационной анестезией Дисилан, инфильтрационной анестезией Sol.Articaini 1:200 000 1.8 ml вестибулярно и нёбно проведены интрасулькулярный разрез в области зубов 1.1, 2.1 с вестибулярной стороны с двумя вертикальными косыми дистальными разрезами в области зубов 1.2 и 2.2 (Рисунок 8, 9).

Рисунок 8. Проведена местная анестезия.

Рисунок 9. Отслаивание слизисто-надкостничного лоскута в области зубов 1.1, 2.1.

Распатором проведено аккуратное отслаивание слизисто-надкостничного лоскута, по возможности избегая касания корней зуба для максимального сохранения оставшихся периодонтальных волокон и клеток на поверхности корней зубов (Рисунок 10).

Рисунок 10. Отслоен слизисто-надкостничный лоскут. Признаки отсутствия костной ткани в апроксимальных участках и на вестибулярной поверхности корней зубов 1.1 и 2.1 на протяжении более чем 23 длины корней.

Визуализированы и удалены 2 эластических кольца из области апикальной трети зубов 1.1, 2.1 путем захвата кольца иглодержателем и рассечения ножницами, антисептическая обработка 0.05% раствором Хлоргексидина. Гнойного отделяемого не обнаружено, открытый кюретаж не проводился (Рисунки 11, 12).

Рисунок 11. Визуализированы и удалены два эластических кольца из апикальной трети пародонта зубов 1.1, 2.1.

Рисунок 12. Эластические кольца, удаленные из пародонта зубов 1.1, 2.1

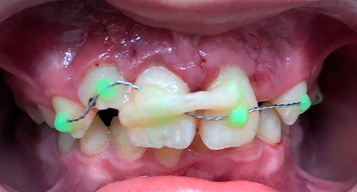
Лоскут уложен на место и фиксирован узловыми швами Vicryl 5-0. Проведена припасовка гибкой проволочной шины из крученой лигатурной проволоки. Фиксация шины проводилась по адгезивному протоколу на зубы 5.3, 1.2, 1.1, 2.1, 6.3, 6.5 (Рисунок 13 А). Шина дополнительно усилена композитной «лапкой» в области зубов 1.1, 2.1, создавая пространства для возможности проведения домашней гигиены полости рта (Рисунок 13 Б).

Рисунок 13. А - Наложение швов, фиксация композитно-проволочной шиной. Б – окончательный вид послеоперационной области.

Даны рекомендации по уходу: охранительный режим, щадящая диета, использование монопучковой зубной щетки и силиконовых межзубных ершиков. Назначена противовоспалительная и антибактериальная терапия, а также орошение полости рта растворами антисептиков в течение 7 дней.

Контрольный осмотр через 7 дней после хирургического лечения.

Жалобы отсутствуют. Со слов матери пациента, послеоперационный период протекал без особенностей.

Осмотр полости рта: композитно-проволочная шина стабильная, послеоперационная область в стадии эпителизации. Швы ослаблены, покрыты мягким налетом, определяются остатки пищи. Отделяемое из раневой области серозное. Окружающая слизистая гиперемирована, пальпация слабоболезненная. Зубы 1.1, 2.1 подвижность 1 степени, холодовая проба положительная. Определяются отложения зубного налета по десневому краю и в области шины.

Проведена антисептическая обработка полости рта 0, 05% раствором Хлоргексидина, снятие швов, очищение поверхности зубов от мягкого налета щеточкой и пастой.

Даны рекомендации по уходу (Рисунки 14-16).

Рисунок 14. А, Б: Вид послеоперационной области на 7 сутки. Произведено частичное снятие швов.

Рисунок 15. Определение подвижности зубов (анимация)

Рисунок 16. Полное снятие швов.

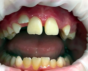
Контрольный осмотр через 14 дней после хирургического лечения

Жалобы отсутствуют.

Осмотр полости рта: композитно-проволочная шина стабильная. Окружающая без признаков воспаления, пальпация безболезненная. Зубы 1.1, 2.1 подвижность 1 степени, холодовая проба положительная. Определяются отложения зубного налета по десневому краю и в области шины.

Проведено снятие композитно-проволочной шины, полировка зубов.

Контрольный осмотр через 6 месяцев.

Внеплановых визитов не было. Жалобы отсутствуют.

Зубы 1.1, 2.1 подвижность отсутствует, диастема отсутствует, холодовая проба положительная. Определяются обильные отложения зубного налета. Окружающая слизистая гиперемирована. Признаки патологических десневых карманов отсутствуют. Признаки прорезывания зубов 2.2 и 2.4 (Рисунки 17, 18).

Рисунок 17. Клиническая картина через 6 месяцев после хирургического лечения.

Рисунки 18. Холодовая проба положительная через 6 месяцев после операции (анимация).

На КЛКТ через 6 месяцев после хирургического лечения признаки патологических изменений костной ткани в области зубов 1.1, 2.1 отсутствуют, определяются признаки восстановления костной ткани и уменьшения пространства периодонтальной щели. Для сравнения стереолитографическая модель границ костной ткани до хирургического вмешательства наложена на КЛКТ через 6 месяцев после хирургического лечения. Сопоставление изображений проводилось по относительно неизменным костным ориентирам: передней носовой ости и носо-нёбному каналу (Рисунки 19-21).

Рисунок 19. Кросс-срезы КЛКТ зубов 1.1, 2.1 через 6 месяцев после хирургического лечения (анимация).

Рисунок 20. Сопоставление стереолитографической модели костной ткани до хирургического лечения и КЛКТ через 6 месяцев после.

Рисунок 21. Кросс-срезы КЛКТ зубов 1.1, 2.1 через 6 месяцев после хирургического лечения с наложенной стереолитографической моделью костной ткани до хирургического лечения (анимация).

Пациент направляется к гигиенисту стоматологическому для проведения профессиональной гигиены полости рта и врачу-ортодонту на консультацию.

Просмотр КЛКТ проводился в программе 3Diagnosys (3DIEMME, Italy), обработка стереолитографической модели выполнена в программе PlastyCAD (3DIEMME, Italy).

Источники литературы

1. McQuillen, J.H. Care in the use of Indiarubber rings, editorial. Dent Cosmos 12:429 Aug 1870

2. Rubel I. Avulsion of central incisors by elastic bands with subsequent orthodontic treatment. J Am Dent Assoc. 1980 Feb;100(2):211-2. doi: 10:14219/jada.archive.1980:0066.

наверх
Просмотров: 1149
© E-Stomatology, Все права защищены 2001 - 2026
Информация на этом сайте предназначена для профессионалов: врачей, ассистентов, зубных техников, гигиенистов Яндекс.Метрика   Рейтинг@Mail.ru   Яндекс-цитирование